“Em 15 minutos eu mexi a mão”: a recuperação de Danilo após um AVC e o tratamento que chegou no tempo certo

No episódio da série “Cada minuto conta. Cada vida também”, o Dr. João Bastianello, neurologista do IMCELER, conversa com Danilo da Silva Silveira sobre o que aconteceu depois da chegada ao Hospital Dom João Becker, em Gravataí (RS). O que veio a seguir surpreendeu até o próprio paciente.
O remédio que desfez o coágulo
Após o diagnóstico confirmado por tomografia, Danilo recebeu a alteplase, medicação trombolítica validada no Brasil desde 2012 e utilizada especificamente para dissolver coágulos no AVC isquêmico. O protocolo exigia que ele permanecesse imóvel durante uma hora de infusão, com o efeito esperado se estendendo por 24 a 30 horas.
O que ninguém esperava era a velocidade da resposta.
“Em 15 minutos eu mexi a mão. Em 30, eu mexi o braço”, contou Danilo.
Cerca de duas horas após o início do tratamento, ele já conseguia puxar a perna. Animado, chamou o médico para mostrar. A resposta veio com um sorriso: “Eu tô vendo. Agora fica quieto.”
Como o remédio age no cérebro
O Dr. João explicou o mecanismo por trás dessa recuperação. A alteplase destrói a rede de fibrina que mantém o coágulo preso dentro do vaso, impedindo a circulação do sangue em uma região do cérebro. Com a rede destruída, o coágulo se dissolve e o fluxo é restabelecido.
“É como se um rio estivesse novamente fluindo”, descreveu o Dr. João.
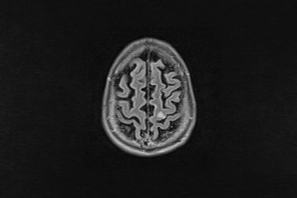
A ressonância magnética feita 24 horas após a internação mostrou a área afetada no lado esquerdo do cérebro, o que explica os sintomas no lado direito do corpo. Uma área pequena, graças à rapidez do atendimento.
A hora de ouro que poucos conhecem
O Dr. João foi direto ao explicar o que poderia ter sido diferente: sem o tratamento, sem o suporte do neurologista por teleatendimento ou sem a chegada a tempo, aquela pequena área afetada no cérebro poderia ter sido muito maior.
“Cada segundo que passa aumenta?“, perguntou Danilo.
“É a hora de ouro que a gente fala. E a gente só tem 4 horas. É um tempo muito, muito curto“, respondeu o médico.
A história de Danilo é um exemplo concreto do que o TeleAVC® IMCELER representa: a diferença entre chegar a tempo ou não pode ser medida em neurônios, em movimentos, em vida.
Este texto foi produzido com base na conversa entre o Dr. João E. T. Bastianello e Danilo da Silva Silveira, apresentada no quadro “Cada minuto conta. Cada vida também – Histórias reais de quem teve uma segunda chance graças ao TeleAVC® IMCELER”.
Assista ao episódio completo no canal do IMCELER no YouTube: youtube.com/@imceler

